Skip to main navigation Skip to main content
  • KSCN
  • E-Submission

CNR : Clinical Nutrition Research

OPEN ACCESS
ABOUT
BROWSE ARTICLES
EDITORIAL POLICIES
FOR CONTRIBUTORS

Page Path

  • HOME
  • BROWSE ARTICLES
  • Previous issues
10
results for

Previous issues

Article category

Keywords

Authors

Previous issues

Prev issue Next issue

Volume 3(2); July 2014

Review Article

Dietary Factors and the Risk of Thyroid Cancer: A Review
Wook Jin Choi, Jeongseon Kim
Clin Nutr Res 2014;3(2):75-88.   Published online July 29, 2014
DOI: https://doi.org/10.7762/cnr.2014.3.2.75

In the past few decades, the incidence of thyroid cancer has rapidly increased worldwide. Thyroid cancer incidence is relatively high in regions where the population's daily iodine intake is insufficient. While low dietary iodine has been considered as a risk factor for thyroid cancer development, previous studies found controversial results across different food types. Among different ethnic groups, dietary factors are influenced by various dietary patterns, eating habits, life-styles, nutrition, and other environmental factors. This review reports the association between dietary factors and thyroid cancer risk among ethnic groups living in different geologic regions. Iodine-rich food such as fish and shellfish may provide a protective role in populations with insufficient daily iodine intake. The consumption of goitrogenic food, such as cruciferous vegetables, showed a positive association with risk. While considered to be a risk factor for other cancers, alcohol intake showed a protective role against thyroid cancer. High consumption of meat such as chicken, pork, and poultry showed a positive association with the risk, but dairy products showed no significant association. Regular use of multivitamins and dietary nitrate and nitrite also showed a positive association with thyroid cancer risk. However, the study results are inconsistent and investigations into the mechanism for how dietary factors change thyroid hormone levels and influence thyroid function are required.

Citations

Citations to this article as recorded by  
  • Causal Association of Dietary Habits With Thyroid Diseases: Univariate and Multivariate Mendelian Randomization Studies
    Ningwei Wang, Yunyi Yang, Jiawen You, Xiaoxiao Qu, Weijin Huang, Yanming He, Hongjie Yang
    Food Science & Nutrition.2026;[Epub]     CrossRef
  • Plant-derived nutritional components in thyroid disease-related neuropsychiatric disorders: mechanistic insights and advances
    Zihan Zhang, Meng-Xiang Xu, Nana Wang, Ruilin Shen, Jiayu Sun, Min Zha, Meizi Wang
    Frontiers in Nutrition.2026;[Epub]     CrossRef
  • The influence of nutrition in nodular thyroid pathology: a systematic review
    Vanessa Neto, Catarina Leitão, Marta Estrela, Margarida Fardilha, Maria Teresa Herdeiro, Alexandra Nunes
    Critical Reviews in Food Science and Nutrition.2025; 65(24): 4634.     CrossRef
  • The impact of targeted nursing intervention on postoperative medication adherence, quality of life, and psychological flexibility of thyroid cancer patients
    Xiaohong Xu, Li Zhou, Wen Qiu, Yifang Su
    Asia-Pacific Journal of Clinical Oncology.2025; 21(1): 102.     CrossRef
  • Coffee consumption and risk of thyroid cancer: a systematic review and meta-analysis of cohort and case control studies
    Mehdi Karimi, Erfan Shahir-Roudi, Fatemeh Shokoohy, Kimia Kazemi, Amir Hossein Aghayan, Mehran Rostami Varnosfaderani, Zahedeh Khoshnazar, Mehdi Chegin, Niyousha Shirsalimi, Omid Asbaghi, Parisa Hosseini Koukamari, Parmis Hassanbeigi
    Thyroid Research.2025;[Epub]     CrossRef
  • Distribution of iodine and selenium in soils and groundwater of rural areas in the Oryol region as a risk factor for thyroid cancer
    V. S. Baranchukov, V. Yu. Berezkin, L. I. Kolmykova, V. N. Danilova, A. A. Dolgonosov
    Lomonosov Geography Journal.2025; 80(№1, 2025): 41.     CrossRef
  • Continued rise in the incidence of thyroid cancer in Iran: true increase or overdiagnosis?
    Mahnaz Pejman Sani, Shahrzad Mohseni, Hilda Samimi, Shirzad Nasiri, Babak Fallahi, Mohammadreza Mohajeri-Tehrani, Seyed Mohammad Tavangar, Mahmood Naderi, Nooshin Shirzad, Bagher Larijani, Sayed Mahmoud Sajjadi-Jazi, Gholamreza Roshandel, Vahid Haghpanah
    Journal of Diabetes & Metabolic Disorders.2025;[Epub]     CrossRef
  • A differenciált pajzsmirigyrák rizikója mint első és második primer tumor
    András Kiss, Balázs Szili, Bence Bakos, Bálint Tóbiás, Bernadett Balla, István Takács, Péter Lakatos, János Kósa
    Orvosi Hetilap.2025; 166(7): 253.     CrossRef
  • The Increasing Incidence in Pediatric Thyroid Cancer: A Topical Review and Future Direction
    Jordan Whittles, Simo Kraguljac, Anthony P. Tufaro, Joseph Lopez
    Current Surgery Reports.2025;[Epub]     CrossRef
  • Inside the Matrix: Integrated Cytology and Molecular Testing of Thyroid FNAC Samples Using a Commercial Synthetic 3D Scaffold
    Diana Raluca Streinu, Dana Liana Stoian, Octavian Constantin Neagoe, Mihnea Derban, Paula Diana Ciordas, Catalin Marian
    International Journal of Molecular Sciences.2025; 26(22): 11100.     CrossRef
  • Narrative overview of possible preventive measures for differentiated thyroid carcinomas
    Maria Eduarda de Castro, Lucas Leite Cunha, Laura Sterian Ward
    Heliyon.2025; 11(1): e41284.     CrossRef
  • Iodine and Selenium Distribution in Soils and Groundwater in Rural Areas of Oryol Oblast as a Risk Factor for Thyroid Cancer Incidence
    V. S. Baranchukov, V. Yu. Berezkin, L. I. Kolmykova, V. N. Danilova, A. A. Dolgonosov
    Moscow University Soil Science Bulletin.2025; 80(S1): S23.     CrossRef
  • Deep Learning Empowered Decision Support Systems for Thyroid Cancer Detection and Management
    Xinyu Zhang, Vincent CS Lee
    Procedia Computer Science.2024; 237: 945.     CrossRef
  • Research Progress on Risk Factors of Thyroid Cancer
    丽 焦
    Advances in Clinical Medicine.2024; 14(08): 400.     CrossRef
  • Zinc and thyroid cancer: A systematic review and meta-analysis protocol
    Aline Alves Soares, Yasmin Guerreiro Nagashima, Camila Xavier Alves, Kleyton Santos de Medeiros, Márcia Marília Gomes Dantas Lopes, José Brandão-Neto, Hossain Uddin Shekhar
    PLOS ONE.2024; 19(8): e0307617.     CrossRef
  • Association of dietary manganese intake and the IL1R1 rs3917225 polymorphism with thyroid cancer risk: a prospective cohort study in Korea
    Tao Thi Tran, Ha Thi Mien Nguyen, Madhawa Gunathilake, Jeonghee Lee, Jeongseon Kim
    British Journal of Nutrition.2024; 132(12): 1584.     CrossRef
  • Diet in Thyroid Disorders: A Survey among Clinicians and a Review of the Current Perspective
    Awadhesh Kumar Singh, Subhankar Chatterjee, Akriti Singh, Rana Bhattacharjee
    Indian Journal of Endocrinology and Metabolism.2024; 28(4): 378.     CrossRef
  • Temporal trends of thyroid cancer between 2010 and 2019 in Asian countries by geographical region and SDI, comparison with global data
    Fatemeh Rezaei, Afrooz Mazidimoradi, Zahra Pasokh, Seyed Parsa Dehghani, Leila Allahqoli, Hamid Salehiniya
    AGING MEDICINE.2023; 6(4): 386.     CrossRef
  • Association between dietary habits and incident thyroid cancer: A prospective cohort study
    Linh Thi Dieu Nguyen, Madhawa Gunathilake, Jeonghee Lee, Jeongseon Kim
    Frontiers in Nutrition.2023;[Epub]     CrossRef
  • Induction of epithelial-mesenchymal transition in thyroid follicular cells is associated with cell adhesion alterations and low-dose hyper-radiosensitivity
    Ankit Mathur, Vijayakumar Chinnadurai, Param Jit Singh Bhalla, Sudhir Chandna
    Tumor Biology.2023; 45(1): 95.     CrossRef
  • Food Intake of Patients with Thyroid Nodules: a Brazilian Food Guides-Based Analysis
    Leylyanne Alexandre Freitas de Vasconcelos, Renata Carmo de Assis, Ana Bárbara Muniz Araújo, Thayane Maria Tomé de Sousa, Ashley Brito Valentim, Soraia Pinheiro Machado Arruda, Carla Soraya Costa Maia
    Revista Brasileira de Cancerologia.2022;[Epub]     CrossRef
  • Effects of Annurca Flesh Apple Polyphenols in Human Thyroid Cancer Cell Lines
    Francesca Maria Orlandella, Peppino Mirabelli, Anna Elisa De Stefano, Paola Lucia Chiara Iervolino, Neila Luciano, Stefania D’Angelo, Giuliana Salvatore, Ferdinando Chiaradonna
    Oxidative Medicine and Cellular Longevity.2022;[Epub]     CrossRef
  • Relationship Between Physical Activity Levels and Thyroid Cancer Risk: A Prospective Cohort Study in Korea
    Anh Quynh Bui, Madhawa Gunathilake, Jeonghee Lee, Eun Kyung Lee, Jeongseon Kim
    Thyroid®.2022; 32(11): 1402.     CrossRef
  • Adherence to mediterranean diet and the risk of differentiated thyroid cancer in a European cohort: The EPIC study
    Fjorida Llaha, Valerie Cayssials, Marta Farràs, Antonio Agudo, Maria Sandström, Anne Kirstine Eriksen, Anne Tjønneland, Marie-Christine Boutron-Ruault, Nasser Laouali, Thérèse Truong, Charlotte Le Cornet, Verena Katzke, Matthias Schulze, Domenico Palli, V
    Frontiers in Nutrition.2022;[Epub]     CrossRef
  • Adherence to the Mediterranean Diet as a Modifiable Risk Factor for Thyroid Nodular Disease and Thyroid Cancer: Results From a Pilot Study
    Luigi Barrea, Giovanna Muscogiuri, Giulia de Alteriis, Tommaso Porcelli, Claudia Vetrani, Ludovica Verde, Sara Aprano, Francesco Fonderico, Giancarlo Troncone, Annamaria Colao, Silvia Savastano
    Frontiers in Nutrition.2022;[Epub]     CrossRef
  • Differentiated thyroid carcinoma in children: A retrospective analysis of 125 pediatric cases from a single institution in India
    Priyakumari Thankamony, Garima Nirmal, Rumesh Chandar, Anila K. R. Nair, Pradeep Veeramoni Iyer Mriduladevi
    Pediatric Blood & Cancer.2021;[Epub]     CrossRef
  • Nutritional status and follicular-derived thyroid cancer: An update
    Luigi Barrea, Marco Gallo, Rosaria Maddalena Ruggeri, Paola Di Giacinto, Franz Sesti, Natalie Prinzi, Valerio Adinolfi, Viola Barucca, Valerio Renzelli, Giovanna Muscogiuri, Annamaria Colao, Roberto Baldelli
    Critical Reviews in Food Science and Nutrition.2021; 61(1): 25.     CrossRef
  • Influence of Sleep Quality, Coffee Consumption, and Perceived Stress on the Incidence of Thyroid Cancer in Healthy Korean Adults
    Myoyoun Kim, Seon Young Hwang
    Korean Journal of Adult Nursing.2021; 33(2): 125.     CrossRef
  • Separation and Determination of Chemopreventive Phytochemicals of Flavonoids from Brassicaceae Plants
    Sylwia Bajkacz, Magdalena Ligor, Irena Baranowska, Bogusław Buszewski
    Molecules.2021; 26(16): 4734.     CrossRef
  • A trial for improving thyroid gland dysfunction in rats by using a marine organism extract
    D. S. Foda, S. G. Shams
    Brazilian Journal of Biology.2021; 81(3): 592.     CrossRef
  • Role of Age and Sex on Simple and Complex Carbohydrates Rich Foods Consumption and Thyroid Cancer Risk: Hospital Based Case - Control Study
    Maria Fiore, Antonio Cristaldi, Valeria Okatyeva, Salvatore Lo Bianco, Gea Oliveri Conti, Pietro Zuccarello, Chiara Copat, Rosario Caltabiano, Matteo Cannizzaro, Margherita Ferrante
    The Open Public Health Journal.2021; 14(1): 38.     CrossRef
  • A Narrative Review of the Role of Diet and Lifestyle Factors in the Development and Prevention of Endometrial Cancer
    Hajar Ku Yasin, Anthony H. Taylor, Thangesweran Ayakannu
    Cancers.2021; 13(9): 2149.     CrossRef
  • Diet as a possible influencing factor in thyroid cancer incidence: the point of view of the nutritionist
    Luigi BARREA, Gabriella PUGLIESE, Evelyn FRIAS-TORAL, Daniela LAUDISIO, Dolores RODRIGUEZ, Giovanni VITALE, Carla COLOMBO, Annamaria COLAO, Silvia SAVASTANO, Giovanna MUSCOGIURI
    Panminerva Medica.2021;[Epub]     CrossRef
  • Molecular signatures for inflammation vary across cancer types and correlate significantly with tumor stage, sex and vital status of patients
    Alexandra Renee So, Jeong Min Si, David Lopez, Matteo Pellegrini, Hassan Ashktorab
    PLOS ONE.2020; 15(4): e0221545.     CrossRef
  • Dietary habits and thyroid cancer risk: A hospital-based case–control study in Sicily (South Italy)
    Maria Fiore, Antonio Cristaldi, Valeria Okatyeva, Salvatore Lo Bianco, Gea Oliveri Conti, Pietro Zuccarello, Chiara Copat, Rosario Caltabiano, Matteo Cannizzaro, Margherita Ferrante
    Food and Chemical Toxicology.2020; 146: 111778.     CrossRef
  • Pathways of factors exacerbating dental fluorosis risk at high altitude regions — A review
    Gopalan Viswanathan, Pandian Bothi Raja, Krishnan Thirumoorthy, Ramanikanthan Deepa, S. Siva Ilango
    Environmental Technology & Innovation.2020; 20: 101115.     CrossRef
  • Psychological nursing intervention reduces psychological distress in patients with thyroid cancer
    Lingling Wu, Yigang Zou
    Medicine.2020; 99(38): e22346.     CrossRef
  • Effects of bamboo shoots (Bambusa balcooa) on thyroid hormone synthesizing regulatory elements at cellular and molecular levels in thyrocytes
    Deotima Sarkar, Amar K Chandra, Arijit Chakraborty, Sayan Ghosh, Sreya Chattopadhyay, Laishram Hemchandra Singh, Indrajit Ray
    Journal of Ethnopharmacology.2020; 250: 112463.     CrossRef
  • Major dietary patterns and differentiated thyroid cancer
    Zohreh Sadat Sangsefidi, Fatemeh Ghafouri-Taleghani, Seyed Rasoul Zakavi, Abdolreza Norouzy, Roxana Kashanifar, Raheleh Pourbaferani, Mohammad Safarian, Mahdieh Hosseinzadeh
    Clinical Nutrition ESPEN.2019; 33: 195.     CrossRef
  • Thyroid Cancer
    Rodrigo Arrangoiz, Fernando Cordera, David Caba, Eduardo Moreno, Enrique Luque-de-Leon, Manuel Muñoz
    International Journal of Otolaryngology and Head & Neck Surgery.2019; 08(06): 217.     CrossRef
  • Thyroid Cancer and Iodine Deficiency Status: A 10‐Year Review at a Single Cancer Center in Tanzania
    Lulu L. Sakafu, Teddy F. Mselle, Julius D. Mwaiselage, Khamza K. Maunda, Bouyoucef S. Eddin, Mark E. Zafereo
    OTO Open.2018;[Epub]     CrossRef
  • Consumption of fruits, vegetables and fruit juices and differentiated thyroid carcinoma risk in the European Prospective Investigation into Cancer and Nutrition (EPIC) study
    Raul Zamora‐Ros, Virginie Béraud, Silvia Franceschi, Valerie Cayssials, Konstantinos K. Tsilidis, Marie‐Christine Boutron‐Ruault, Elisabete Weiderpass, Kim Overvad, Anne Tjønneland, Anne K. Eriksen, Fabrice Bonnet, Aurélie Affret, Verena Katzke, Tilman Kü
    International Journal of Cancer.2018; 142(3): 449.     CrossRef
  • Review of a priori dietary quality indices in relation to their construction criteria
    Christine Burggraf, Ramona Teuber, Stephan Brosig, Toni Meier
    Nutrition Reviews.2018; 76(10): 747.     CrossRef
  • Consumption of Fish Is Not Associated with Risk of Differentiated Thyroid Carcinoma in the European Prospective Investigation into Cancer and Nutrition (EPIC) Study
    Raul Zamora-Ros, Jazmín Castañeda, Sabina Rinaldi, Valerie Cayssials, Nadia Slimani, Elisabete Weiderpass, Konstantinos K Tsilidis, Marie-Christine Boutron-Ruault, Kim Overvad, Anne K Eriksen, Anne Tjønneland, Tilman Kühn, Verena Katzke, Heiner Boeing, An
    The Journal of Nutrition.2017; 147(7): 1366.     CrossRef
  • Fish, food security and health in Pacific Island countries and territories: a systematic literature review
    Karen E. Charlton, Joanna Russell, Emma Gorman, Quentin Hanich, Aurélie Delisle, Brooke Campbell, Johann Bell
    BMC Public Health.2016;[Epub]     CrossRef
  • Increasing Incidence of Thyroid Nodules and Thyroid Cancer: Does Increased Detection of a Subclinical Reservoir Justify the Associated Anxiety and Treatment?
    Melinda B. Ukrainski, E.A. Pribitkin, J.L. Miller
    Clinical Therapeutics.2016; 38(4): 976.     CrossRef
  • FOXE1 Polymorphism Interacts with Dietary Iodine Intake in Differentiated Thyroid Cancer Risk in the Cuban Population
    Yan Ren, Juan J. Lence-Anta, Celia M. Pereda, Mae Chappe, Milagros Velasco, Idalmis Infante, Marlene Bustillo, Silvia Turcios, Axelle Leufroy, Thierry Guérin, Laurent Noël, Fabienne Lesueur, Stéphane Maillard, Enora Cléro, Constance Xhaard, Rodrigue S. Al
    Thyroid®.2016; 26(12): 1752.     CrossRef
  • Energy and macronutrient intake and risk of differentiated thyroid carcinoma in the European Prospective Investigation into Cancer and Nutrition study
    Raul Zamora-Ros, Sabina Rinaldi, Konstantinos K. Tsilidis, Elisabete Weiderpass, Marie-Christine Boutron-Ruault, Agnetha Linn Rostgaard-Hansen, Anne Tjønneland, Françoise Clavel-Chapelon, Sylvie Mesrine, Verena A. Katzke, Tilman Kühn, Jana Förster, Heiner
    International Journal of Cancer.2016; 138(1): 65.     CrossRef
  • Prevalence of hyperthyroidism according to type of vegetarian diet
    Serena Tonstad, Edward Nathan, Keiji Oda, Gary E Fraser
    Public Health Nutrition.2015; 18(8): 1482.     CrossRef
  • Thyroid Cancer and Radiation
    Chong Soon Kim
    Journal of Korean Thyroid Association.2015; 8(1): 1.     CrossRef
  • Protocol of a Thyroid Cancer Longitudinal Study (T-CALOS): a prospective, clinical and epidemiological study in Korea
    Kyu Eun Lee, Young Joo Park, Belong Cho, Yunji Hwang, June Young Choi, Su-jin Kim, Hoonsung Choi, Ho-Chun Choi, Ah Reum An, Do Joon Park, Sue K Park, Yeo-Kyu Youn
    BMJ Open.2015; 5(1): e007234.     CrossRef
  • Guía clínica para el manejo de pacientes con carcinoma diferenciado de tiroides de bajo riesgo
    Juan José Díez, Amelia Oleaga, Cristina Álvarez-Escolá, Tomás Martín, Juan Carlos Galofré
    Endocrinología y Nutrición.2015; 62(6): e57.     CrossRef
  • Economic growth and nutrition transition: an empirical analysis comparing demand elasticities for foods in China and Russia
    Christine Burggraf, Lena Kuhn, Qi-ran ZHAO, Ramona Teuber, Thomas Glauben
    Journal of Integrative Agriculture.2015; 14(6): 1008.     CrossRef
  • Increased risk of papillary thyroid cancer related to hormonal factors in women
    Ping Wang, Long Lv, Feng Qi, Feng Qiu
    Tumor Biology.2015; 36(7): 5127.     CrossRef
  • 1,783 View
  • 7 Download
  • 54 Crossref

Original Articles

Korean red ginseng (steam treated Panax ginseng C.A. Meyer), among most prized traditional herbal remedies, has been clinically shown to improve cardiovascular disease (CVD) risk factors. Whether this holds true for the dried non-steamed variety, known as Korean white ginseng (KWG) is unclear. This study therefore, investigated the efficacy and safety of escalating doses of KWG on vascular and glycemic parameters in type 2 diabetes (T2DM). Using an acute, randomized, placebo-controlled, double-blind, crossover design, 25 participants with well-controlled T2DM (12-males: 13-females, age: 63 ± 9 years, A1c: 6.9 ± 0.7%, BMI: 29.3 ± 4.3 kg/m2) underwent five visits during which they received 1 g, 3 g, or 6 g KWG or 3 g wheat-bran control (twice) together with 50 g-glucose load. For the duration of 240 minutes, augmentation index (AI), and central blood pressure were measured at baseline and at 60 min-intervals, and ambulatory blood pressure was assessed at baseline and at 10 min-intervals. Additionally, capillary blood was collected at time zero and at 15, 30, 45, 60, 90, 120, and 180 minutes post-treatment. A symptoms questionnaire was used to assess safety and adverse events. Two-way ANOVA demonstrated a significant time-treatment interaction effect on AI (p = 0.01) with one-way ANOVA showing significant reductions in AI with 3 g KWG relative to control (p = 0.04). Compared to control, acute administration of KWG appeared to be safe, but did not affect any other postprandial, vascular or glycemic parameters. KWG might have a beneficial effect on AI, a cumulative indicator of arterial health. However, these results are preliminary and highlight the need for long-term investigation with a focus on its accountable components. Clinical Trial Registration: NCT01699074

Citations

Citations to this article as recorded by  
  • The Conventional and Alternative Therapeutic Approaches in Arterial Stiffness Management
    Joseph Iharinjaka Randriamboavonjy, Valeria Conti, Ines Mazza, Thierry Ragot, Charles Andrianjara, Herintsoa Rafatro, Angela Tesse
    Pharmaceutics.2026; 18(2): 166.     CrossRef
  • Changes in Phytochemical Compositions and Biological Activities After Fermentation According to the Harvest Periods of Mountain-Cultivated Ginseng Sprouts
    Jong Bin Jeong, Hee Yul Lee, Du Yong Cho, Mu Yeun Jang, Da Hyun Kim, Do Yun Bang, Hye Rim Kim, Ye Rim Jeong, Jin Hwan Lee, Kye Man Cho
    Foods.2026; 15(4): 774.     CrossRef
  • Therapeutic Potential of Ginsenosides in Anthracycline-Induced Cardiotoxicity
    Rongrong Bai, Zhigao Zhao, Xing Han, Mingying Shang, Guangxue Liu, Feng Xu, Shaoqing Cai
    Molecules.2025; 30(12): 2527.     CrossRef
  • Ginseng supplementation and vascular function: a systematic review and meta-analysis of clinical trials
    Ayda Esmaeili, Naser Khalili, Nastaran Najafi, Fatemeh Hajizadeh-Sharafabad
    BMC Complementary Medicine and Therapies.2025;[Epub]     CrossRef
  • A systemic review of ginseng and its activity on coronary heart disease
    Shivam Alpeshkumar Parmar, Vinyas Mayasa, Vinod Kumar Nelson, Jhanvi Divecha
    Pharmacological Research - Modern Chinese Medicine.2024; 12: 100480.     CrossRef
  • Ginsenoside Rd attenuated hyperglycemia via Akt pathway and modulated gut microbiota in streptozotocin-induced diabetic rats
    Wei Wang, Fengtao Guan, Gianni Sagratini, Jie Yan, Jiahan Xie, Zhibo Jin, Meihong Liu, Huimin Liu, Jingsheng Liu
    Current Research in Food Science.2023; 6: 100491.     CrossRef
  • The Efficacy of Ginseng (Panax) on Human Prediabetes and Type 2 Diabetes Mellitus: A Systematic Review and Meta-Analysis
    Kaveh Naseri, Saeede Saadati, Amir Sadeghi, Omid Asbaghi, Fatemeh Ghaemi, Fatemeh Zafarani, Hua-Bin Li, Ren-You Gan
    Nutrients.2022; 14(12): 2401.     CrossRef
  • Anti-Diabetic Effects of Isolated Lipids from Natural Sources through Modulation of Angiogenesis
    Soraya Sajadimajd, Mina Khosravifar, Gholamreza Bahrami
    Current Molecular Pharmacology.2022; 15(4): 589.     CrossRef
  • Studies on Bioactive Components of Red Ginseng by UHPLC-MS and Its Effect on Lipid Metabolism of Type 2 Diabetes Mellitus
    Rensong Huang, Meng Zhang, Yu Tong, Yaran Teng, Hui Li, Wei Wu
    Frontiers in Nutrition.2022;[Epub]     CrossRef
  • The role of selected nutraceuticals in management of prediabetes and diabetes: An updated review of the literature
    Giuseppe Derosa, Angela D'Angelo, Pamela Maffioli
    Phytotherapy Research.2022; 36(10): 3709.     CrossRef
  • Ginsenosides for cardiovascular diseases; update on pre-clinical and clinical evidence, pharmacological effects and the mechanisms of action
    Michael Sarhene, Jing Yu Ni, Esi Sophia Duncan, Zhihao Liu, Sheng Li, Jing Zhang, Rui Guo, Shan Gao, Xiumei Gao, Guanwei Fan
    Pharmacological Research.2021; 166: 105481.     CrossRef
  • The Effects of New Zealand Grown Ginseng Fractions on Cytokine Production from Human Monocytic THP-1 Cells
    Wei Chen, Prabhu Balan, David G. Popovich
    Molecules.2021; 26(4): 1158.     CrossRef
  • A comprehensive review on the phytochemistry, pharmacokinetics, and antidiabetic effect of Ginseng
    Yage Liu, Hao Zhang, Xuan Dai, Ruyuan Zhu, Beibei Chen, Bingke Xia, Zimengwei Ye, Dandan Zhao, Sihua Gao, Alexander N. Orekhov, Dongwei Zhang, Lili Wang, Shuzhen Guo
    Phytomedicine.2021; 92: 153717.     CrossRef
  • Herbal Medicine for Slowing Aging and Aging-associated Conditions: Efficacy, Mechanisms and Safety
    Hoa T. Phu, Duong T.B. Thuan, Thi H.D. Nguyen, Anna M. Posadino, Ali H. Eid, Gianfranco Pintus
    Current Vascular Pharmacology.2020; 18(4): 369.     CrossRef
  • Herbal Medicine for Cardiovascular Diseases: Efficacy, Mechanisms, and Safety
    Abdullah Shaito, Duong Thi Bich Thuan, Hoa Thi Phu, Thi Hieu Dung Nguyen, Hiba Hasan, Sarah Halabi, Samar Abdelhady, Gheyath K. Nasrallah, Ali H. Eid, Gianfranco Pintus
    Frontiers in Pharmacology.2020;[Epub]     CrossRef
  • The Anticancer Activity and Mechanisms of Ginsenosides: An Updated Review
    Hongwei Chen, Haixia Yang, Daidi Fan, Jianjun Deng
    eFood.2020; 1(3): 226.     CrossRef
  • De�novo transcriptome analysis of gene responses to pest feeding in leaves of Panax�ginseng C. A. Meyer
    Guangsheng Xi, Yanling Wang, Le Yin, Yunjia Wang, Shengxue Zhou
    Molecular Medicine Reports.2019;[Epub]     CrossRef
  • Review of Ginseng Anti-Diabetic Studies
    Wei Chen, Prabhu Balan, David G. Popovich
    Molecules.2019; 24(24): 4501.     CrossRef
  • Ginseng for the treatment of diabetes and diabetes-related cardiovascular complications: a discussion of the evidence
    Morris Karmazyn, Xiaohong Tracey Gan
    Canadian Journal of Physiology and Pharmacology.2019; 97(4): 265.     CrossRef
  • Ginsenoside Rg3 stereoisomers differentially inhibit vascular smooth muscle cell proliferation and migration in diabetic atherosclerosis
    Mengqi Guo, Guanlun Guo, Jie Xiao, Xi Sheng, Xinyu Zhang, Yuanyuan Tie, Yuen‐Kit Cheng, Xiaoping Ji
    Journal of Cellular and Molecular Medicine.2018; 22(6): 3202.     CrossRef
  • Synergistic effect of combined protopanaxatiol and ginsenoside Rh2 on antiproliferative activity in MDA-MB-231 human breast cancer cells in vitro
    Guixing Ren, Caie Wu, Cong Teng, Yang Yao
    Food and Agricultural Immunology.2018; 29(1): 953.     CrossRef
  • Cardiovascular disease risk reduction in diabetes through conventional and natural approaches
    William M. Schultz, Elliot N. Mahlof, Devinder S. Dhindsa, Tina Varghese, Robert E. Heinl, Hannah C. Cai, Pratik B. Sandesara, Danny J. Eapen, Laurence S. Sperling
    Cardiovascular Endocrinology.2017; 6(4): 128.     CrossRef
  • Protopanaxadiol and Protopanaxatriol-Type Saponins Ameliorate Glucose and Lipid Metabolism in Type 2 Diabetes Mellitus in High-Fat Diet/Streptozocin-Induced Mice
    Jianjun Deng, Yao Liu, Zhiguang Duan, Chenhui Zhu, Junfeng Hui, Yu Mi, Pei Ma, Xiaoxuan Ma, Daidi Fan, Haixia Yang
    Frontiers in Pharmacology.2017;[Epub]     CrossRef
  • Protective and anti-angiopathy effects of ginsenoside Re against diabetes mellitus via the activation of p38 MAPK, ERK1/2 and JNK signaling
    Yawei Shi, Xuesi Wan, Nan Shao, Runyi Ye, Ning Zhang, Yunjian Zhang
    Molecular Medicine Reports.2016; 14(5): 4849.     CrossRef
  • Rapid preparation of rare ginsenosides by acid transformation and their structure-activity relationships against cancer cells
    Kai Quan, Qun Liu, Jin-Yi Wan, Yi-Jing Zhao, Ru-Zhou Guo, Raphael N. Alolga, Ping Li, Lian-Wen Qi
    Scientific Reports.2015;[Epub]     CrossRef
  • Ginsenoside Rg1 improves bone marrow haematopoietic activity via extramedullary haematopoiesis of the spleen
    Hua‐Hsing Liu, Fei‐Peng Chen, Rong‐Kai Liu, Chun‐Lin Lin, Ko‐Tung Chang
    Journal of Cellular and Molecular Medicine.2015; 19(11): 2575.     CrossRef
  • Herbs for Diabetes: Update—Part 1
    Eric Yarnell, Kathy Abascal
    Alternative and Complementary Therapies.2014; 20(6): 328.     CrossRef
  • 1,113 View
  • 0 Download
  • 27 Crossref
Immunomodulatory Effects of Kimchi in Chinese Healthy College Students: A Randomized Controlled Trial
Hansongyi Lee, Do Yeon Kim, Mi Ae Lee, Ja-Young Jang, Ryowon Choue
Clin Nutr Res 2014;3(2):98-105.   Published online July 29, 2014
DOI: https://doi.org/10.7762/cnr.2014.3.2.98

This study examined the potential immunomodulatory effects of Kimchi, a traditional fermented Korean vegetable, in healthy Chinese college students. The four-week clinical-trial (randomized, open-label, prospective, controlled) was followed by a one week wash-out period. Healthy Chinese college students (over 20 years of age with a body mass index of 18.5-23.0 kg/m2) volunteered for this study. Forty-three students were randomly classified into two groups, Kimchi (n = 21, supplemented with 100 g of Kimchi per day) or non-Kimchi (n = 22, supplemented with 100 g of radish per day, control) groups. During the four-week intervention period, students were asked to maintain their usual diet and activity, and instructed not to take any medications, functional food products, or dietary supplements. Anthropometrics, nutritional intake, and blood immune parameters (lymphocyte subsets, cytokines, and immunoglobulins) were measured before and after the four weeks of intervention. Thirty-nine students (19 in the Kimchi group, 20 in the non-Kimchi group) finished the study. After the intervention, no significant changes were observed in lymphocyte subsets (T-cell, B-cell, NK cell), pro-inflammatory cytokines (IL-6, TNF-α), anti-inflammatory cytokines (IL-4 and IL-10), and immunoglobulins (Ig A, G, and M) between groups in either the Kimchi or non-Kimchi. These results suggest that the short-term consumption of Kimchi has no immunomodulatory effects in healthy Chinese college students.

Citations

Citations to this article as recorded by  
  • Effects of Fermented Kimchi Consumption on Anthropometric and Blood Cardiometabolic Indicators: A Systematic Review and Meta-Analysis of Intervention Studies and Prospective Cohort Studies
    Seoeun Ahn, Manije Darooghegi Mofrad, Briana M Nosal, Ock K Chun, Hyojee Joung
    Nutrition Reviews.2025; 83(7): e1441.     CrossRef
  • Fermented Vegetables: Their Microbiology and Impact on Gut Microbiota and Overall Health Benefits
    Thilakna Ampemohotti, Aida Golneshin, Christopher Pillidge, Charles Brennan, Thi Thu Hao Van
    Food Reviews International.2025; 41(9): 2570.     CrossRef
  • Health Benefits of Kimchi, Sauerkraut, and Other Fermented Foods of the Genus Brassica
    Sabina Fijan, Polona Fijan, Lei Wei, Maria L. Marco
    Applied Microbiology.2024; 4(3): 1165.     CrossRef
  • Fermented foods, their microbiome and its potential in boosting human health
    Vincenzo Valentino, Raffaele Magliulo, Dominic Farsi, Paul D. Cotter, Orla O'Sullivan, Danilo Ercolini, Francesca De Filippis
    Microbial Biotechnology.2024;[Epub]     CrossRef
  • Short-Term Supplementation of Sauerkraut Induces Favorable Changes in the Gut Microbiota of Active Athletes: A Proof-of-Concept Study
    Andrija Karačić, Jadran Zonjić, Ena Stefanov, Katja Radolović, Antonio Starčević, Ira Renko, Željko Krznarić, Matija Ivančić, Zvonimir Šatalić, Ana-Marija Liberati Pršo
    Nutrients.2024; 16(24): 4421.     CrossRef
  • Effects of kimchi on human health: a scoping review of randomized controlled trials
    Eunhye Song, Lin Ang, Hye Won Lee, Myung-Sunny Kim, You Jin Kim, Daija Jang, Myeong Soo Lee
    Journal of Ethnic Foods.2023;[Epub]     CrossRef
  • Plant-based fermented foods and the satiety cascade: A systematic review of randomized controlled trials
    Georgia Chatonidi, Jonas Poppe, Kristin Verbeke
    Trends in Food Science & Technology.2023; 133: 127.     CrossRef
  • Fermented Foods of Korea and Their Functionalities
    Su-Jin Jung, Soo-Wan Chae, Dong-Hwa Shin
    Fermentation.2022; 8(11): 645.     CrossRef
  • Immunomodulatory potential of vegetables vis-à-vis human health
    Hare Krishna, T. Janakiram, Manoj Kumar Singh, V. Karuppaiah, R.B. Yadava, R.N. Prasad, Jagdish Singh, T.K. Behera
    The Journal of Horticultural Science and Biotechnology.2022; 97(5): 560.     CrossRef
  • Korean traditional foods as antiviral and respiratory disease prevention and treatments: A detailed review
    Gitishree Das, J. Basilio Heredia, Maria de Lourdes Pereira, Ericsson Coy-Barrera, Sonia Marlene Rodrigues Oliveira, Erick Paul Gutiérrez-Grijalva, Luis Angel Cabanillas-Bojórquez, Han-Seung Shin, Jayanta Kumar Patra
    Trends in Food Science & Technology.2021; 116: 415.     CrossRef
  • Fermented dairy products as delivery vehicles of novel probiotic strains isolated from traditional fermented Asian foods
    Kariyawasam Majuwana Gamage Menaka Kariyawasam, Na-Kyoung Lee, Hyun-Dong Paik
    Journal of Food Science and Technology.2021; 58(7): 2467.     CrossRef
  • Characterization of Weissella confusa DD_A7 isolated from kimchi
    Debasish Kumar Dey, Bon Gyo Koo, Chanchal Sharma, Sun Chul Kang
    LWT.2019; 111: 663.     CrossRef
  • Health benefits of fermented foods
    Nevin Şanlier, Büşra Başar Gökcen, Aybüke Ceyhun Sezgin
    Critical Reviews in Food Science and Nutrition.2019; 59(3): 506.     CrossRef
  • Anti-bacterial susceptibility profiling of Weissella confusa DD_A7 against the multidrug-resistant ESBL-positive E. coli
    Debasish Kumar Dey, Imran Khan, Sun Chul Kang
    Microbial Pathogenesis.2019; 128: 119.     CrossRef
  • Exopolysaccharide from Lactobacillus plantarum LRCC5310 offers protection against rotavirus-induced diarrhea and regulates inflammatory response
    Kiyoung Kim, Gyeonghweon Lee, Hien Dang Thanh, Jong-Hwa Kim, Maytiya Konkit, Seokmin Yoon, Miri Park, Siyoung Yang, Eunsup Park, Wonyong Kim
    Journal of Dairy Science.2018; 101(7): 5702.     CrossRef
  • A survey of research papers on the health benefits of kimchi and kimchi lactic acid bacteria
    Bohkyung Kim, Eun-Gyung Mun, Doyeon Kim, Young Kim, Yongsoon Park, Hae-Jeung Lee, Youn-Soo Cha
    Journal of Nutrition and Health.2018; 51(1): 1.     CrossRef
  • The Association between Food Group Consumption Patterns and Early Metabolic Syndrome Risk in Non-Diabetic Healthy People
    Rimkyo Yeo, So Ra Yoon, Oh Yoen Kim
    Clinical Nutrition Research.2017; 6(3): 172.     CrossRef
  • 652 View
  • 1 Download
  • 17 Crossref

It is generally accepted that diet modification provides beneficial effects on the management of diabetes. In the present study, we evaluated the effects of diet modification on nutrient intake and quality of life in a large sample of diabetic patients. This study was conducted using data from the Korea National Health and Nutrition Examination Survey IV and V (2007-2010). A total of 2,484 of diabetic patients were included in the analysis. Then, we compared the overall quality of dietary intake between diabetic patients with diet modification and those without dietary modification. The result showed that subjects on diabetic diet (DDG) showed lower levels of total cholesterol, triglyceride, and AST before and after the adjustment for covariates (all p < 0.05). The results of nutrient assessment showed that DDG had lower intakes of total energy, fat, and carbohydrate (all p < 0.05), but higher intakes of energy from protein, vitamin B1, vitamin B2, niacin and vitamin C than NDG. (all p < 0.05). In addition, nutritional adequacy ratio of calcium and vitamin B2 were significantly higher in DDG than those in normal diet group (NDG) (p < 0.05). However, we observed no significant differences in quality of life between two groups. In conclusion, diet modification in diabetic patients seemed to be effective to improve blood lipid profile and the adequacy of nutrient intake without sacrificing the quality of life.

Citations

Citations to this article as recorded by  
  • Modeling the factors affecting the quality of life in diabetic patients in India using total interpretive structural modeling
    Puneeta Ajmera, Vineet Jain
    Benchmarking: An International Journal.2019; 26(3): 951.     CrossRef
  • Analysis of dimensions and shapes of maxillary and mandibular dental arch in Korean young adults
    Su-Jung Park, Richard Leesungbok, Jae-Won Song, Se Hun Chang, Suk-Won Lee, Su-Jin Ahn
    The Journal of Advanced Prosthodontics.2017; 9(5): 321.     CrossRef
  • Association between the Eating Family Meal and the Prevalence of Metabolic Syndrome Using Data from Korea National Health and Nutrition Examination Survey (2007–2012)
    Shin-Ae Park, Woo-Chul Park, Yu-Jin Kwon, Jae-Yong Shim
    Korean Journal of Family Medicine.2017; 38(3): 130.     CrossRef
  • Dietary and physical activity of adult patients with type 2 diabetes in Zhejiang province of eastern China: Data from a cross‐sectional study
    Xiaowen He, Jie Pan, Mingxia Pan, Jiawei Wang, Jingfen Dong, Hongdi Yuan, Lei Zhou, Minhua Chen, Yunfen Chen, Yiping Lu, Huiqin Gu, Yanshu Chen, Liqin Wu, Yajuan Chen, Fubi Jin, Bijun Li, Wei Gu
    Journal of Diabetes Investigation.2016; 7(4): 529.     CrossRef
  • 876 View
  • 2 Download
  • 4 Crossref
Development and Evaluation of a Web-based Computer-Assisted Personal Interview System (CAPIS) for Open-ended Dietary Assessments among Koreans
Sangah Shin, Eunyoung Park, Dong Han Sun, Tae-Kyoung You, Myung-Joo Lee, Soochan Hwang, Hee Young Paik, Hyojee Joung
Clin Nutr Res 2014;3(2):115-125.   Published online July 29, 2014
DOI: https://doi.org/10.7762/cnr.2014.3.2.115

The accuracy of dietary assessments has emerged as a major concern in nutritional epidemiology and new dietary assessment tools using computer technology to increase accuracy have been developed in many countries. The purpose of this study was to develop a web-based computer-assisted personal interview system (CAPIS) for conducting dietary assessment and to evaluate its practical utilization among Koreans. The client software was developed using Microsoft's ClickOnce technology, which allows communication with a database system via an http server to add or retrieve data. The system consists of a tracking system for the subject and researcher, a data-input system during the interview, a calculation system for estimating food and nutrient intake, a data-output system for presenting the results, and an evaluation system for assessing the adequacy of nutrient and food intake. Databases of the nutrient composition of common food (n = 3,642), recipes for common dishes (n = 1,886), and photos of serving sizes for food and dishes (n = 4,152) were constructed, and logical processes for data collection, calculation, and output were developed. The functionality, on-site applicability, and efficiency of CAPIS were evaluated in a convenience sample of 181 participants (61 males, 120 females; aged 24 to 85) by comparing with manual 24 hour recall method with paper questionnaire. The CAPIS was functioned adequately in the field survey in terms of completeness of function, security, and compliance of researcher and subjects. Regarding on-site applicability, 23.2%, 32.6%, 35.4%, and 43.7% of subjects reported that CAPIS was easier to recall their diet, to estimate the amount consumed, to communicate with the interviewer, and to concentrate on the interview than the manual method with paper questionnaire, respectively. Although CAPIS required more interview time (9 min 42 sec) compared to the manual method (7 min 30 sec), it saved time and cost for data coding and entry (15 min 35 sec) and gave high satisfaction from the prompt feedback after interview to the subjects, which increase efficiency to apply on the field survey. Our results suggest that the newly developed CAPIS is suitable for conducting personal interviews for dietary assessment in Korean population.

Citations

Citations to this article as recorded by  
  • Developing a food list for a new 24‐h dietary recall tool for New Zealand
    Sally Mackay, Caitlin Haliburton, Berit Follong, Carolyn Lister, Michelle Gibbs, Cliona Ni Mhurchu
    Nutrition & Dietetics.2025; 82(3): 292.     CrossRef
  • Development and evaluation of food photograph series software for portion size estimation among urban North Indian adults
    Vidisha Sharma, Ravinder Chadha
    Mediterranean Journal of Nutrition and Metabolism.2023; 16(4): 293.     CrossRef
  • Associations between lumbar bone mineral density, serum 25-hydroxyvitamin D and history of kidney stones in adults aged 30–69 years in the USA (NHANES 2011–2018)
    Zeyu Li, Lei Li, Jianyi Zheng, Mingyang Li, Siyu Wu, Kerong Xin, Rong Li, Song Bai, Xiaonan Chen
    BMJ Open.2023; 13(5): e070555.     CrossRef
  • A System That Allows Users to Have a Job Interview Experience
    Pelin Vardarlıer
    Sustainability.2023; 15(22): 16031.     CrossRef
  • Applicability of a Web-based 24-hour Dietary Recall Tool for Japanese Populations in Large-scale Epidemiological Studies
    Yoshie Hose, Junko Ishihara, Ayaka Kotemori, Misako Nakadate, Sachiko Maruya, Junta Tanaka, Hiroshi Yatsuya, Atsuko Aoyama, Chifa Chiang, Tsuneo Konta, Takamasa Kayama, Yoshiyuki Ueno, Manami Inoue, Norie Sawada, Shoichiro Tsugane, Ribeka Takachi
    Journal of Epidemiology.2023; 33(8): 419.     CrossRef
  • Development and Usability Study of an Open-Access Interviewer-Administered Automated 24-h Dietary Recall Tool in Argentina: MAR24
    Ismael A. Contreras-Guillén, Sara Leeson, Rocio V. Gili, Belén Carlino, Daniel Xutuc, Marcia Cristina Teixeira Martins, María E. Zapata, Gina Segovia-Siapco, Joan Sabaté, Fabio J. Pacheco, Sandaly O. S. Pacheco
    Frontiers in Nutrition.2021;[Epub]     CrossRef
  • Potential of existing online 24-h dietary recall tools for national dietary surveys
    Rozenn Gazan, Florent Vieux, Ségolène Mora, Sabrina Havard, Carine Dubuisson
    Public Health Nutrition.2021; 24(16): 5361.     CrossRef
  • Components of Metabolic Syndrome in Korean Adults: A Hospital-Based Cohort at Seoul National University Bundang Hospital
    Soo Lim, Se Hee Min, Ji Hyun Lee, Lee Kyung Kim, Dong-Hwa Lee, Jie-Eun Lee, Kyoung Min Kim, Sunmi Lee, Kyoung-Chan Park, Yun Jong Lee
    Journal of Obesity & Metabolic Syndrome.2019; 28(2): 118.     CrossRef
  • Development and simulated validation of a dish composition database for estimating food group and nutrient intakes in Japan
    Nana Shinozaki, Kentaro Murakami, Shizuko Masayasu, Satoshi Sasaki
    Public Health Nutrition.2019; 22(13): 2367.     CrossRef
  • Branched-Chain Amino Acid Database Integrated in MEDIPAD Software as a Tool for Nutritional Investigation of Mediterranean Populations
    Sara Haydar, Thomas Paillot, Christophe Fagot, Yannick Cogne, Athanasios Fountas, Yildiz Tutuncu, Madalina Vintila, Agathocles Tsatsoulis, Pham Thanh Chi, Patrick Garandeau, Dan Chetea, Corin Badiu, Monica Gheorghiu, Dorina Ylli, Corinne Lautier, Morana J
    Nutrients.2018; 10(10): 1392.     CrossRef
  • Scaling up Dietary Data for Decision-Making in Low-Income Countries: New Technological Frontiers
    Winnie Bell, Brooke A Colaiezzi, Cathleen S Prata, Jennifer C Coates
    Advances in Nutrition.2017; 8(6): 916.     CrossRef
  • Overcoming Dietary Assessment Challenges in Low-Income Countries: Technological Solutions Proposed by the International Dietary Data Expansion (INDDEX) Project
    Jennifer Coates, Brooke Colaiezzi, Winnie Bell, U. Charrondiere, Catherine Leclercq
    Nutrients.2017; 9(3): 289.     CrossRef
  • Development and evaluation of a concise food list for use in a web-based 24-h dietary recall tool
    Katie Evans, Áine Hennessy, Janette Walton, Claire Timon, Eileen Gibney, Albert Flynn
    Journal of Nutritional Science.2017;[Epub]     CrossRef
  • Design and baseline characteristics of participants in the Enhancing Physical Activity and Reducing Obesity through Smartcare and Financial Incentives (EPAROSFI): A pilot randomized controlled trial
    Dong Wook Shin, Hee-Kyung Joh, Jae Moon Yun, Hyuk Tae Kwon, Hyejin Lee, Hyeyeon Min, Jung-Hyun Shin, Won Joo Chung, Jin Ho Park, BeLong Cho
    Contemporary Clinical Trials.2016; 47: 115.     CrossRef
  • A review of the design and validation of web- and computer-based 24-h dietary recall tools
    Claire M. Timon, Rinske van den Barg, Richard J. Blain, Laura Kehoe, Katie Evans, Janette Walton, Albert Flynn, Eileen R. Gibney
    Nutrition Research Reviews.2016; 29(2): 268.     CrossRef
  • Assessing Child Nutrient Intakes Using a Tablet-Based 24-Hour Recall Tool in Rural Zambia
    Bess L. Caswell, Sameera A. Talegawkar, Brian Dyer, Ward Siamusantu, Rolf D. W. Klemm, Amanda C. Palmer
    Food and Nutrition Bulletin.2015; 36(4): 467.     CrossRef
  • 769 View
  • 0 Download
  • 16 Crossref
Evaluation of Fruit Intake and its Relation to Body Mass Index of Adolescents
Eunah Ham, Hyun-Jin Kim
Clin Nutr Res 2014;3(2):126-133.   Published online July 29, 2014
DOI: https://doi.org/10.7762/cnr.2014.3.2.126

Diets high in fruits and vegetables are recommended to maintain health. However, accurate fruit intake evaluation is hard and high sugar content in most of the fruits suggest possible negative relationships with health indices. The purpose of the present study was to evaluate the fruit intake status of adolescents and to examine the relationship between fruit intake and body mass index (BMI). For this, 400 middle and high school students were surveyed for their fruit eating attitude, preference, and intake level for fruit along with the evaluation of their relationship with anthropometric measures. As for fruit preference, the most frequent answer was 'like very much' (60.0%) and the preference of fruit was significantly higher in females than in males (p < 0.01). The highest answer to the reason to like fruits was 'delicious' (67.0%). The highest proportion of subjects replied that the amount of fruit intake was similar in both school meals and at home (39.3%) and unlikable feeling of fruits was 'sour' (47.0%). The favorite fruit was the apple followed by oriental melon, grape, Korean cherry, cherry, tangerine/orange, hallabong, plum, mango, persimmon, peach, pear/kiwi, apricot, Japanese apricot, and fig in order. As for the number of serving sizes per person were 2.9 times/day for male students and 3.0 times/day for female students showing no significant difference. The frequency of eating fruits in the evening showed a significant positive correlation with body weight (p < 0.05) and BMI (p < 0.01), respectively. In summary of these study findings, it was found that the fruit preference of adolescents was relatively high and their fruit intake level satisfied the recommended number of intake. The number of evening fruit intake had a significantly positive correlation with body weight and BMI. Further studies are required to examine the relationship between fruit intake and health indicators.

Citations

Citations to this article as recorded by  
  • Perceived influences of fruit and vegetable consumption among Indian adolescents – A qualitative inquiry
    Neha Rathi, Anthony Worsley, Meg Bruening
    BMC Public Health.2025;[Epub]     CrossRef
  • Factors associated with vegetable and fruit intake among adolescents with overweight and obesity in Selangor from 2020 to 2021
    Shaliza A. Shahridzal, May Y. Lau, Ruzita Abd. Talib, Nur Zakiah Mohd Saat
    Frontiers in Public Health.2025;[Epub]     CrossRef
  • The relationship between the intake of fruits, vegetables, and dairy products and dyslipidemia in STEPs study
    Mehran Nouri, Zohreh Ebrahimi, Zainab Shateri, Shiva Faghih
    BMC Research Notes.2025;[Epub]     CrossRef
  • Investigating the Association between Unhealthy Dietary Habits and Obesity among Libyan Adults
    Hamdi Lemamsha, Gurch Randhawa, Chris Papadopoulos
    International Journal of Environmental Research and Public Health.2022; 19(3): 1076.     CrossRef
  • Visualization and Interpretation of Multivariate Associations with Disease Risk Markers and Disease Risk—The Triplot
    Tessa Schillemans, Lin Shi, Xin Liu, Agneta Åkesson, Rikard Landberg, Carl Brunius
    Metabolites.2019; 9(7): 133.     CrossRef
  • The Oporto mixed-longitudinal growth, health and performance study. Design, methods and baseline results
    Michele Caroline de Souza, Raquel Nichele de Chaves, Fernanda Karina dos Santos, Thayse Natacha Queiroz Ferreira Gomes, Daniel Vilhena e Santos, Alessandra Silva Borges, Sara Isabel Sampaio Pereira, Cláudia Lúcia de Moraes Forjaz, Joey Eisenmann, José Ant
    Annals of Human Biology.2017; 44(1): 11.     CrossRef
  • Modeling the dynamics of BMI changes during adolescence. The Oporto Growth, Health and Performance Study
    M C de Souza, J C Eisenmann, D V e Santos, R N de Chaves, C L de Moraes Forjaz, J A R Maia
    International Journal of Obesity.2015; 39(7): 1063.     CrossRef
  • 743 View
  • 0 Download
  • 7 Crossref
Coffee Enema for Preparation for Small Bowel Video Capsule Endoscopy: A Pilot Study
Eun Sun Kim, Hoon Jai Chun, Bora Keum, Yeon Seok Seo, Yoon Tae Jeen, Hong Sik Lee, Soon Ho Um, Chang Duck Kim, Ho Sang Ryu
Clin Nutr Res 2014;3(2):134-141.   Published online July 29, 2014
DOI: https://doi.org/10.7762/cnr.2014.3.2.134

Coffee enemas are believed to cause dilatation of bile ducts and excretion of bile through the colon wall. Proponents of coffee enemas claim that the cafestol palmitate in coffee enhances the activity of glutathione S-transferase, an enzyme that stimulates bile excretion. During video capsule endoscopy (VCE), excreted bile is one of the causes of poor preparation of the small bowel. This study aimed to evaluate the feasibility and effect of coffee enema for preparation of the small bowel during VCE. In this pilot study, 17 of 34 patients were assigned to the coffee enema plus polyethylene glycol (PEG) 2 L ingestion group, whereas the 17 remaining control patients received 2 L of PEG only. The quality of bowel preparation was evaluated in the two patient groups. Bowel preparations in the proximal segments of small bowel were not differ between two groups. In the mid and distal segments of the small intestine, bowel preparations tend to be better in patients who received coffee enemas plus PEG than in patients who received PEG only. The coffee enema group did not experience any complications or side effects. Coffee enemas may be a feasible option, and there were no clinically significant adverse events related to coffee enemas. More prospective randomized studies are warranted to improve small bowel preparation for VCE.

Citations

Citations to this article as recorded by  
  • Identifying the optimal bowel preparation for small-bowel capsule endoscopy: a meta-review and umbrella meta-analysis
    Ian Io Lei, Pablo Cortegoso Valdivia, Noemi Gualandi, Kiara Mc Donnell, Marco Pennazio, Ramesh Arasaradnam, Anastasios Koulaouzidis
    Gastrointestinal Endoscopy.2026; 103(4): 672.     CrossRef
  • A systematic review on diagnosis and treatment of gastrointestinal diseases by magnetically controlled capsule endoscopy and artificial intelligence
    Xiaotong Wang, Xiaoming Hu, Yongxue Xu, Jiahao Yong, Xiang Li, Kaixuan Zhang, Tao Gan, Jinlin Yang, Nini Rao
    Therapeutic Advances in Gastroenterology.2023;[Epub]     CrossRef
  • Preparation, Timing, Prokinetics, and Surface Agents in Video Capsule Endoscopy
    Elizabeth Squirell, Michelle Ricci, Lawrence Hookey
    Gastrointestinal Endoscopy Clinics of North America.2021; 31(2): 251.     CrossRef
  • The Efficacy of 4 Liters of Clear Liquids for Small Bowel Preparation Prior to Video Capsule Endoscopy
    Nicholas Placone, Runalia Bahar, Surinder Mann
    Clinical Endoscopy.2020; 53(6): 713.     CrossRef
  • Systematic review and meta-analysis: is bowel preparation still necessary in small bowel capsule endoscopy?
    Diana E. Yung, Emanuele Rondonotti, Catherine Sykes, Marco Pennazio, John N. Plevris, Anastastios Koulaouzidis
    Expert Review of Gastroenterology & Hepatology.2017; 11(10): 979.     CrossRef
  • Optimal Bowel Preparation for Video Capsule Endoscopy
    Hyun Joo Song, Jeong Seop Moon, Ki-Nam Shim
    Gastroenterology Research and Practice.2016; 2016: 1.     CrossRef
  • 1,643 View
  • 5 Download
  • 6 Crossref
Compromised Diet Quality is Associated with Decreased Renal Function in Children with Chronic Kidney Disease
Hyerang Kim, Hyunjung Lim, Ryowon Choue
Clin Nutr Res 2014;3(2):142-149.   Published online July 29, 2014
DOI: https://doi.org/10.7762/cnr.2014.3.2.142

Nutritional status of children with chronic kidney disease (CKD) is important since it affects growth and development. This study was to investigate overall diet quality measured by nutrient intake adequacy, nutrient density, and several dietary habits in children with CKD and its relationship with clinical parameters according to glomerular filtration rate (GFR). Assessment of nutritional status and diet quality was conducted in nineteen children with CKD. Average Z-scores of height, weight and body mass index (BMI) in the participants were less than standard growth rate. Nutritional status, such as Z-scores of height (p < 0.05) and serum total protein (p < 0.05), were significantly lower in the children with GFR < 75 mL/min/1.73 m2 compared to those with GFR ≥ 75 mL/min/1.73 m2. Nutrition adequacy ratio of energy, thiamin, riboflavin, vitamin B6, folate, iron, and zinc and overall diet quality were significantly poorer in the children with GFR < 75 mL/min/1.73 m2. Poorer appetite and avoidance of food were observed in the children with higher blood urea nitrogen (BUN). Intakes of iron, zinc, thiamin, niacin, and vitamin B6 were positively correlated with GFR. Intakes of calcium, potassium and folate were positively correlated with BUN, while protein intakes were negatively correlated. Overall nutrient intakes were inadequate and diet quality was decreased as kidney function was decreased. Dietary habit and appetite were also related with kidney function in this study subjects. Systemic efforts of nutritional intervention are imperative to prevent deteriorating growth and development and improve the nutritional status in children with CKD.

Citations

Citations to this article as recorded by  
  • Thiamin deficiency in children with chronic kidney disease on peritoneal dialysis and its association with dialysis duration and transport peritoneal membrane status
    Wipawee Suwanboriboon, Thanaporn Chaiyapuk, Intraparch Tinnabut, Gornmigar Sanpawitayakul, Chatchawan Srisawat, Sarawut Junnu, Sompong Liammongkolkul, Kwanjai Chotipanang, Hathaichanok Rukprayoon, Phakwan Laohathai, Narumon Densupsoontorn
    Pediatric Nephrology.2026; 41(1): 177.     CrossRef
  • Patient and Caregiver Perspectives on Diet and Nutrition for Children With CKD: A Systematic Review of Qualitative Studies
    Ao Zhang, Anita van Zwieten, Anastasia Hughes, Siah Kim, Kelly Lambert, Luca G. Torrisi, Allison Jaure, Chandana Guha
    American Journal of Kidney Diseases.2026; 87(3): 345.     CrossRef
  • U-shaped association between dietary niacin intake and chronic kidney disease among US elderly: a nationwide cross-sectional study
    Zhouzhou Xie, Shansen Peng, Gejun Ou, Xiaoqi Zhou, Guihao Zhang, Huiming Jiang, Tianhui Zhang, Nanhui Chen
    Frontiers in Endocrinology.2024;[Epub]     CrossRef
  • Assessment and management of vitamin status in children with CKD stages 2–5, on dialysis and post-transplantation: clinical practice points from the Pediatric Renal Nutrition Taskforce
    Caroline E. Anderson, Jetta Tuokkola, Leila Qizalbash, Matthew Harmer, Christina L. Nelms, Stella Stabouli, Barry Toole, Nonnie Polderman, An Desloovere, Jose Renken-Terhaerdt, Molly R. Wong Vega, Evelien Snauwaert, Johan Vande Walle, Dieter Haffner, Fabi
    Pediatric Nephrology.2024; 39(10): 3103.     CrossRef
  • Dietary counseling, meal patterns, and diet quality in patients with type 2 diabetes mellitus with/without chronic kidney disease
    Erika F. Gómez-García, Alfonso M. Cueto-Manzano, Héctor R. Martínez-Ramírez, Laura Cortés-Sanabria, Carla M. Avesani, Claudia N. Orozco-González, Enrique Rojas-Campos
    Journal of Diabetes and its Complications.2024; 38(10): 108853.     CrossRef
  • Does the Nutritional Intake and Diet Quality of Children With Chronic Kidney Disease Differ From Healthy Controls? A Comprehensive Evaluation
    Rachel Lindeback, Rasha Abdo, Lyndal Schnabel, Renee Le Jambre, Sean E. Kennedy, Tamarah Katz, Chee Y. Ooi, Kelly Lambert
    Journal of Renal Nutrition.2024; 34(4): 283.     CrossRef
  • Assessment of Dietary Phosphorus Intake and Implementation of Parental Phosphate Education in Pediatric Chronic Kidney Disease
    RehnaK Rahman, Annie Mattilda, Arpana Iyengar
    Indian Journal of Nephrology.2023; 33(3): 188.     CrossRef
  • Scoping review of the dietary intake of children with chronic kidney disease
    Erin Melhuish, Rachel Lindeback, Kelly Lambert
    Pediatric Nephrology.2022; 37(9): 1995.     CrossRef
  • Assessment of nutritional status in children with kidney diseases—clinical practice recommendations from the Pediatric Renal Nutrition Taskforce
    Christina L. Nelms, Vanessa Shaw, Larry A. Greenbaum, Caroline Anderson, An Desloovere, Dieter Haffner, Michiel J. S. Oosterveld, Fabio Paglialonga, Nonnie Polderman, Leila Qizalbash, Lesley Rees, José Renken-Terhaerdt, Jetta Tuokkola, Johan Vande Walle,
    Pediatric Nephrology.2021; 36(4): 995.     CrossRef
  • Kronik Böbrek Yetmezliği olan Çocuk ve Adölesanlarda Malnütrisyon ile Yaşam Kalitesinin İlişkisi
    Zeynep Caferoğlu, Büşra Erdal, İsmail Dursun
    Hacettepe University Faculty of Health Sciences Journal.2021; 8(2): 344.     CrossRef
  • Dietary calcium intake does not meet the nutritional requirements of children with chronic kidney disease and on dialysis
    Louise McAlister, Selmy Silva, Vanessa Shaw, Rukshana Shroff
    Pediatric Nephrology.2020; 35(10): 1915.     CrossRef
  • Dietary sources of energy and nutrient intake among children and adolescents with chronic kidney disease
    Wen Chen, Kirstie Ducharme-Smith, Laura Davis, Wun Fung Hui, Bradley A. Warady, Susan L. Furth, Alison G. Abraham, Aisha Betoko
    Pediatric Nephrology.2017; 32(7): 1233.     CrossRef
  • Dietary Energy Density, Renal Function, and Progression of Chronic Kidney Disease
    Mohammad Hossein Rouhani, Mojgan Mortazavi Najafabadi, Ahmad Esmaillzadeh, Awat Feizi, Leila Azadbakht
    Advances in Medicine.2016; 2016: 1.     CrossRef
  • 1,021 View
  • 2 Download
  • 13 Crossref
Case Reports

Chronic obstructive pulmonary disease (COPD) is a major cause of disability, and according to statistics from the World Health Organization, COPD is the fourth leading cause of death overall in the face of decades, and expected to be increased. In 2005, the reported prevalence of COPD in Korea was 17.2% of adults over the age of 45. Malnutrition is a common problem in papatients with COPD. And several nutritional intervention studies showed a significant improvement in physical and functional outcomes. According to the results of previous studies, the nutritional support is important. This is a case report of a patient with COPD who was introduced to a proper diet through nutrition education based on the medical nutrition therapy protocol for COPD.

Citations

Citations to this article as recorded by  
  • Effect of Macronutrients or Micronutrients Supplementation on Nutritional Status, Physical Functional Capacity and Quality of Life in Patients with COPD: A Systematic Review and Meta-Analysis
    Greta Lattanzi, Diana Lelli, Raffaele Antonelli Incalzi, Claudio Pedone
    Journal of the American Nutrition Association.2024; 43(5): 473.     CrossRef
  • Kronik Obstrüktif Akciğer Hastalığı Olan Malnütrisyonlu Bireylerde Hemşirelik Yaklaşımı
    Gizem ÖZBUDAK, Öznur USTA YEŞİLBALKAN, Asiye AKYOL
    Dokuz Eylül Üniversitesi Hemşirelik Fakültesi Elektronik Dergisi.2022; 15(3): 387.     CrossRef
  • 550 View
  • 1 Download
  • 2 Crossref
Changes in Fat Intake, Body Fat Composition and Intra-Abdominal Fat after Bariatric Surgery
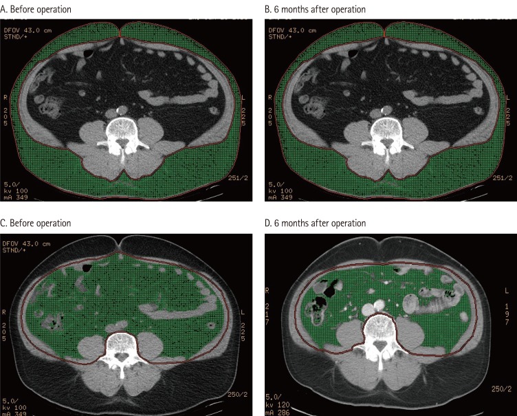
Heesook Lim, Gui Ae Jeong, Gyu Seok Cho, Min Hee Lee, Soonkyung Kim
Clin Nutr Res 2014;3(2):157-161.   Published online July 29, 2014
DOI: https://doi.org/10.7762/cnr.2014.3.2.157

Bariatric surgery is considered to be the effective treatment alternative conducted over the lifetime for reducing weight in patients with clinically morbid obesity. For many patients, the benefits of weight loss, including decreases in blood glucose, lipids, and blood pressure as well as increase in mobility, will outweigh the risks of surgical complications. But patients undergoing bariatric surgery have the least risk for long-term diet-related complications as reported in several studies. Thus, with an increasing number of severely obese patients undergoing bariatric surgery, the multidisciplinary healthcare system will need to be managed continuously. Many nutrition support specialists will need to become familiar with the metabolic consequences for the frequent monitoring of nutrition status of the patients. South Korea has a very short history with bariatric surgery, and relatively few studies have been conducted on bariatric surgery. Therefore, the
objective
of this report was to compare the nutrient intake, weight loss, body fat composition, and visceral fat before and after the bariatric surgery.

Citations

Citations to this article as recorded by  
  • Nutritional Status, Selected Nutrients Intake, and Metabolic Disorders in Bariatric Surgery Patients
    Iwona Boniecka, Aneta Czerwonogrodzka-Senczyna, Anna Jeznach-Steinhagen, Krzysztof Paśnik, Dorota Szostak-Węgierek, Samir Zeair
    Nutrients.2023; 15(11): 2479.     CrossRef
  • A Case of Type 2 Diabetes Mellitus with Severe Insulin Resistance and Dumping Syndrome after Bariatric Surgery
    Hyun Joon Kang, Hyung Oh Kim, Ha Na Choi, Soo Min Hong, Cheol Hyun Lee, Yu Jin Kim, So Young Park, Suk Chon, Seungjoon Oh, Jeong-taek Woo, Sung Woon Kim, Sang Youl Rhee
    The Korean Journal of Obesity.2015; 24(4): 219.     CrossRef
  • 537 View
  • 0 Download
  • 2 Crossref