Skip to main navigation Skip to main content
  • KSCN
  • E-Submission

CNR : Clinical Nutrition Research

OPEN ACCESS
ABOUT
BROWSE ARTICLES
EDITORIAL POLICIES
FOR CONTRIBUTORS

Articles

Original Article

Protective and Therapeutic Effects of Aloe Vera Gel on Ulcerative Colitis Induced by Acetic Acid in Rats

Clinical Nutrition Research 2020;9(3):223-234.
Published online: July 30, 2020

1Medical Biology Research Center, Health Technology Institute, Kermanshah University of Medical Sciences, Kermanshah 671551616, Iran.

2Department of Pharmacology, School of Pharmacy, Kermanshah University of Medical Sciences, Kermanshah 671551616, Iran.

3Clinical Research Development Center, Imam Reza Hospital, Kermanshah University of Medical Sciences, Kermanshah 671551616, Iran.

Correspondence to Atefeh Babaei. Medical Biology Research Center, Health Technology Institute, Kermanshah University of Medical Sciences, Parastar St., Daneshghah Blvd., Kermanshah 671551616, Iran. atefeh.babaie@gmail.com
• Received: May 13, 2020   • Revised: July 11, 2020   • Accepted: July 13, 2020

Copyright © 2020. The Korean Society of Clinical Nutrition

This is an Open Access article distributed under the terms of the Creative Commons Attribution Non-Commercial License (https://creativecommons.org/licenses/by-nc/4.0/) which permits unrestricted non-commercial use, distribution, and reproduction in any medium, provided the original work is properly cited.

  • 1,139 Views
  • 4 Download
  • 20 Crossref
prev next
  • Ulcerative colitis (UC) is a chronic intestinal inflammation. Common clinical symptoms are weight loss, diarrhea, ulcers, and inflammation. Aloe vera (AV) has several medicinal properties including antioxidant, anti-inflammatory analgesic, and improvement of gastric and skin ulcers. This study aimed to investigate the protective and therapeutic effects of AV gel on acetic acid-induced UC in rats. UC was induced in 48 rats by injection of 4% acetic acid into the rectum. Protective and treatment groups received treatments 7 days before and after the induction of colitis, respectively. The negative control group, the positive control group, and AV groups received distilled water, sulfasalazine, and 50 and 300 mg/kg of gel extract, respectively. Water and food intake and body weight changes were recorded. The extent of the mucosal ulcers, colon tissue thickening, and mucosal bleeding were scored by the Gerald classification system score (microscopy observations). Slides of tissues were prepared for pathologic assay using the modified Wallace method (macroscopic observations). The results of the macroscopic and microscopic examination showed protective and therapeutic effects of 50 mg/kg dose of AV on acetic acid-induced colitis in rats which reduces the inflammation, ulcers and tissue damage compared with negative control (p < 0.05). There were no significant changes in the amount of water and food intake, body weight changes, and colon weight in protective and treatment groups. Based on the results, AV gel could be used to improve the symptoms of UC, as well as prevent people who are susceptible to the UC.
Inflammatory bowel disease (IBD) is a chronic disease that affects the gastrointestinal mucosa [1]. IBD consists of 2 major diseases, namely, Crohn's disease and ulcerative colitis (UC) [2]. UC is a condition where inflammatory response and morphological changes are limited to the large intestine and may include rectum [3]. One of the clearest features of UC is the presence of blood and mucus in the stool [4]. Even though the etiology of IBD has not been fully understood and several pathophysiologic factors involved in this disease including disorders of inherent and acquired immune regulation, genetic factors, infectious agents, oxidative stress and environmental factors [5]. The common clinical symptoms of this model include body weight loss, diarrhea, the presence of blood in the stool, the increase of the colon weight, thickening of the intestinal wall, reduced mucus production, ulcers, and inflammation [6]. There are some medications for this disease, but without satisfactory results. Sulfasalazine is a generic drug that is widely used for the treatment of UC [7]. Other immunosuppressants such as Cyclosporine, Tacrolimus and Methotrexate are also effective; however, toxic effects have limited their clinical use [8]. Owing to the low toxicity and safe biological properties, herbal drugs can be effective in improving the quality of life of patients. Aloe vera (AV) of the Liliaceae family is one of the most important species in warm and dry areas [9]. All types of AV contain gel that have more than 70 biological compounds with various properties [10], including anti-inflammatory [11, 12], anti-oxidant [9], anti-diabetic [13], wound healing [14], antimicrobial [15], immune system enhancer [12] and treatment of intestinal disorders [16]. Egyptians have used AV to treat wounds, infection and burn injury [17]. Also, AV was traditionally administered by Native Americans for gastrointestinal disorders including constipation, hemorrhoids, colitis, and colon problems. Subsequently, Greek, Spanish, and African peoples used AV in different ways for different purposes. According to classic medicine in Iran, AV has a warm and fruity taste and its extract is used for medicinal purposes. So far, studies have investigated the anti-inflammatory and antioxidant effects of AV gel in colorectal mucosa in vitro [10] and the protective effects of this gel in UC [8]. Further studies are needed to determine the therapeutic effects and to demonstrate the protective effects of this plant. This study aimed was to investigate the protective and therapeutic effects of AV gel on acetic acid-induced colitis in animal models, according to the antioxidant, anti-inflammatory, wound healing and immune system modulating effects that have been reported by others.
Animals
In this study, forty-eight adult Wistar male rats (8–9 weeks old) weighing 170–220 g were kept in the animal house of the Faculty of Pharmacy, Kermanshah University of Medical Sciences. The animals were maintained in a room under standard conditions of temperature (22 ± 2°C), humidity (50 ± 20%) and 12 hours day/night cycles. Before the experiment, the rats were adapted to the environment and laboratory conditions for 2 weeks. The rats were kept in clean Plexiglas cages with wood-shaving bedding (42 × 27 × 15 cm) with 3 animals per cage at maximum. Standard laboratory pelleted formula and tap water were provided ad libitum. The animal procedures were approved by the Ethics Committee of Kermanshah University of Medical Sciences (IR.KUMS.REC.1396.0461).
Plant preparation
Fresh, mature and healthy leaves of AV in the size of 75 to 90 cm provided from the greenhouse in Kermanshah, were washed with distilled water and dried. The leaves were cut into small pieces and then gel was removed from the epidermis. The amount of gel was weighed and mixed with 70% ethanol (1:10). After 72 hours, samples were filtered and centrifuged (3,000 r/min for 10 minutes) to remove remaining fibers. The solvent was dried under reduced pressure in a rotary evaporator at 37°C and stored for further use at 4°C [18].
Induced colitis
The rats were anesthetized by intraperitoneal injection of 10% Ketamine (70 mg/kg BW) and 2% Xylazine (6 mg/kg BW) (Lab. Alfasan, Worden, Holland). Before the induction of colitis, the rats were fasted for 24 hours. The stool was removed and the rectum was washed by normal saline salutation. For induction of colitis, 1 mL of 4% acetic acid (Sigma-Aldrich, St. Louis, MO, USA) at pH: 2.4 was injected intra-rectum with a penetration depth of 8 cm into the anus. In the control group injected 1 mL of normal saline intra-rectum. The duration of acid contact to the colon was accurately recorded by a stopwatch and the acid evacuation was prevented by closing the anus with fingers. After completion of the desired duration, the acid was allowed to leave completely. During the exam period, the apparent health of the rats, weight changes, water and food consumption, changes in fecal consistency, the presence of blood in the stool and the mortality rate were carefully monitored [19].
Experimental design
To evaluate the protective and therapeutic effects of AV gel, treatments were applied to the therapeutic groups 73 hours after induction of colitis for 7 days and in the protective groups 7 days before induction of colitis. Forty-eight adults Wistar male rats were classified randomly into the following groups (n = 6).
Protective groups:
  • (1) Negative control (C−): treated with 2 mL distilled water for 7 days, induced colitis on day 7.

  • (2) Positive control (C+): treated with Sulfasalazine (100 mg/kg) for 7 days, induced colitis on day 7.

  • (3, 4) AV group (AV): 2 mL AV extract (50 and 300 mg/kg) was administered orally for 7 days, induced of colitis on day 7.

Therapeutic groups:
  • (1) Negative control (C): 72 hours after induction colitis, treated with 2 mL distilled water for 7 days.

  • (2) Positive control (C+): 72 hours after induction of colitis, treated with Sulfasalazine (100 mg/kg) for 7 days

  • (3, 4) AV group: 72 hours after inductions of colitis, 2 mL AV extract (50 and 300 mg/kg) was administered orally for 7 days.

Evaluating the change of weight and intake of water and food
Body weights of the rats were measured and recorded every 3 days using a weighing scale (Ek-4152 Camry). The water and food consumption levels of rats were also recorded from day 1 to the end of the study.
Macroscopic observations
The rats were anesthetized on the days set for different groups with ether and exsanguinated for autopsy, and then separated 4 cm from their colon tissue. Then provided photo of biopsies and scored as no damage, localized hyperemia, but no ulcers, linear ulcers with no significant inflammation, linear ulcers with inflammation at one site, 2 or more sites of ulceration and/or inflammation, 2 or more major sites of inflammation and ulceration or one major site of inflammation and ulceration extending > 1 cm along the length of the colon scored by Gerald classification system score [20] (Table 1).
Table 1

Exterior scoring criteria tissue damage in patients with colitis (Gerald method)

Table 1
Criteria of scoring of IBD morphological damage (Gerald method) Score
No damage 0
Localized hyperemia, but no ulcers 1
Linear ulcers with no significant inflammation 2
Linear ulcers with inflammation at one site 3
Two or more sites of ulceration and/or inflammation 4
Two or more major sites of inflammation and ulceration or one major site of inflammation and ulceration extending > 1 cm along the length of the colon 5
IBD, inflammatory bowel disease.
Microscopic observations
The colon tissues of rats were fixated in 10% buffered formalin for histological study. The stage of tissue preparation for hematoxylin and eosin (H&E) staining include infiltration with wax (paraffin), blocking, tissue excision by microtome into 5-micron sections, dewaxing with 2 changes of xylene and hydration with descending ethanol (100%, 95%, 80%, and 70%), water washing, hematoxylin staining, water washing, differentiation (mild acid), water washing, eosin staining, dehydration with ascending alcohol (70%, 90%, and 100%), clearing with xylene, cover-slipping. Prepared slides were evaluated using a modified Wallace method by an experienced histologist who was not aware of the normal and acid-treated groups (Table 2) [21]. Masson trichrome staining was conducted as following: after deparaffinized and rehydrated, the sections were stained in hematoxylin solution for 8 minutes. Then, ponceau acid fuchsine solution for 5 minutes after rinsed in running tap water for 8 minutes. After differentiated in phosphomolybdic-phosphotungstic acid for 5 minutes, sections were transferred into aniline blue solution for 5 minutes. Then sections were differentiated in 0.2% acetic acid for 2 minutes and followed by dehydration, clearing, and mounting. Photos of sections were taken by light microscope [22].
Table 2

Pathological evaluation using the modified Wallace method

Table 2
Inflammation Depth of lesion Fibrosis
Non Mild Medium Severe Non Laminaprooria Submucose Muscular Serosa Non Mid Severe
+ ++ +++ + ++ +++ ++++ + ++
Statistical analysis
Statistical analyses were carried out by SPSS 16 software (SPSS/PC-16; SPSS Inc., Chicago, IL, USA). Data are expressed as mean ± standard error of the mean. The treated groups were compared with the control by 1-way analysis of variance followed by Duncan's post hoc test at a statistical significance of p < 0.05. Graphical display of data was performed using the Graph Pad Prism 8 software (v8.2.1; Graph Pad Software, Inc., La Jolla, CA, USA).
Weight changes, food and water intake
In the study of protective effect of AV gel extract before induction of colitis on body weight changes, weight gain in AV groups and positive control was observed compared to negative control group, but their difference was not significant (Figure 1). Also, the use of AV was prevented by weight loss caused induced colitis with acetic acid 72 hours later
Figure 1

Protective effect of AV on body weight in colitis rats (n = 6).

AV, Aloe vera.
cnr-9-223-g001.jpg
In the study of the therapeutic effects of AV extract on the body weight changes during 7 days after induction of colitis, weight gain after induction was observed in the AV group and positive control, but no significant difference was observed compared to the control group (Figure 2).
Figure 2

Therapeutic effect of AV on body weight in colitis rats (n = 6).

AV, Aloe vera.
cnr-9-223-g002.jpg
The results of Figures 3 and 4 showed that there were no significant difference in water and food intake between the AV, positive and negative control groups.
Figure 3

Protective effect of AV on food and water intake in colitis rats (n = 6).

AV, Aloe vera.
cnr-9-223-g003.jpg
Figure 4

Treatment effect of AV on food and water intake in colitis rats (n = 6).

AV, Aloe vera.
cnr-9-223-g004.jpg
Macroscopic observations
Colon tissues were removed from rats and evaluated the present of blood, ulcer, and inflammation by Gerald's method (Table 1) and scored (Figure 6). In the protective groups, the positive control and the AV group at the dose of 50 mg/kg did not differ and had the least tissue damage compared to the negative control (p < 0.05) (Figures 5 and 6). However, the AV group at a dose of 300 mg/kg had similar grades as the negative control. In the therapeutic groups, the positive control group, AV (50 mg/kg) and AV (300 mg/kg) had lower scores than the negative control group.
Figure 5

Scoring tissue damage based on Gerald method in protective and treatment groups. Values given are the mean ± standard error of means of 6 rats per group. To analyze the significance of the differences between the samples the authors used analysis of variance followed by the Tukey's test.

AV, Aloe vera.
*p < 0.05 vs. negative control group.
cnr-9-223-g005.jpg
Figure 6

Rat colonic mucosa (macroscopic) in protective (A) AV 50 mg/kg, (B) AV 300 mg/kg, (C) C+, (D) C−, and treatment groups (E) AV 50 mg/kg, (F) AV 300 mg/kg, (G) C+, (H) C− in colitis rats.

AV, Aloe vera.
cnr-9-223-g006.jpg
Microscopic observations
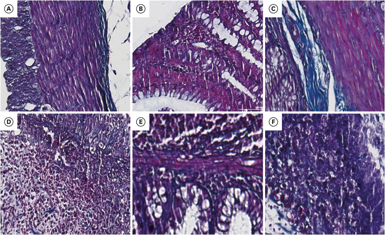
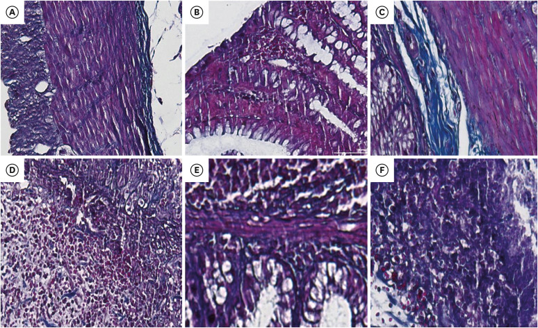
After fixing and staining with H&E and Masson trichrome, the tissues were examined. Macroscopic results corrected by Wallace's modified method (Table 2) are shown in Table 3 for the protective and therapeutic groups. In examination of the protective effects of AV, 50 mg/kg of extract had mild inflammation and depth of lesion to serous layer without fibrosis. The AV extract group at a dose of 300 mg/kg, showed severe inflammation, and depth of lesion to serous layer without any observation of fibrosis. In the positive control group, moderate inflammation, lesion depth to serous layer and no fibrosis was observed, but the negative control group had severe inflammation, depth of lesion to serosa layer and mean fibrosis (Figures 7 and 8).
Table 3

Results of pathological evaluation using the modified Wallace method in treatment and protective groups

Table 3
Inflammation Depth of lesion Fibrosis
Non Mild Medium Severe Non Laminaprooria Submucose Muscular Serosa Non Mid Severe
Protective effect
AV (50 mg/kg) + ++++
AV (300 mg/kg) +++ ++++
C+ + ++++
C− +++ ++++ +
Therapeutic effect
AV (50 mg/kg) ++ ++++
AV (300 mg/kg) +++ ++++ +
C+ ++ +++
C− +++ ++++ ++
AV, Aloe vera.
Figure 7

Photomicrographs of the rat colon stained with hematoxylin and eosin stain stain (×40). Photomicrographs of protective (A) AV 50 mg/kg, (B) AV 300 mg/kg, (C) C+, (D) C−, and treatment groups (E) AV 50 mg/kg, (F) AV 300 mg/kg, (G) C+, (H) C− in colitis rats.

AV, Aloe vera.
cnr-9-223-g007.jpg
Figure 8

Photomicrographs of the rat colon stained Masson's trichrome stain (×200). The collagen deposition, showed by blue color staining area. Photomicrographs of protective group (A) AV 50 mg/kg, (B) AV 300 mg/kg, and treatment groups (C) AV 50 mg/kg, (D) AV 300 mg/kg, (E) positive control, (F) control group.

AV, Aloe vera.
cnr-9-223-g008.jpg
The therapeutic effects in the AV group (50 mg /kg) on inflammation, lesion depth and fibrosis were moderate, serosa and without fibrosis, in the AV group (300 mg/kg) and negative control group, severe, serosa layer and moderate fibrosis were observed. In the positive control group, inflammation, lesion and fibrosis were not observed (Figures 7 and 8).
The purpose of this study was to investigate the protective and therapeutic effects of AV extract on acetic acid-induced colitis of rats. Based on macroscopic and microscopic results, AV showed protective and therapeutic effects on colon tissue especially at a dose of 50 mg/kg, compared to positive control and negative control.
The injection of diluted acetic acid into the rectum is an alternative method for inducing mucosal epithelium chemical damage [23]. The damage in this model is related to the epithelial necrosis and edema, hat penetrate the intestinal mucosal layer [24]. Previous research demonstrated that in colitis the severity of inflammation shows the infiltration of inflammatory cells, including neutrophils, and the extent of inflammation indicates the involvement of different sections of layers including the mucosa, the submucosa, and the entire width of the colon wall [25]. By stimulating or degrading the mucosa by acetic acid, the production of a series of leukotrienes, prostaglandins and thromboxanes increases in wounded colitis [26, 27]. The physiological roles of these materials in the intestine include the control of movement, increase of the intestinal secretions and contribute various types of digestive diseases, including colitis [28]. Inflammation rate, lesion depth in colon tissue and fibrosis were lower in AV group compared to negative control group. On the other hand, AV (50 mg/kg) showed a similar effect with positive control group, which prevented the harmful effects of the disease and in the treatment group, compared to the negative control group without disease (Table 3). Other symptoms of the disease are diarrhea, abdominal pain, fever and weight loss, which vary according to the severity of the disease [29]. In addition, induction of colitis by acetic acid was associated with weight loss and changes in colon of rats [30]. In this study, although after treatment the loss weight was observed but were not meaningful statistically (Figure 2).
So far, the physiological pathways involved in the improvement of intestinal ulcer have been somewhat determined. During acute and chronic inflammation of the intestine, macrophages and neutrophils cause local tissue damages by secretion of reactive oxygen species and tissue degrading enzymes. This event is due to the release of pre-inflammatory cytokines, chemotaxis as well as cell activating peptides that have previously been linked to the matrix [5]. Proven antioxidant effects of AV seem to be effective in reducing and neutralizing reactive radicals. In various studies, the anti-inflammatory effects of the AV gel have been proven [10, 12]. A chronic or repeated inflammation is a prerequisite for the onset of gut fibrosis [5]. In our study in the protective groups, rats treated with 50 and 300 mg/kg and sulfasalazine showed no fibrosis and negative control group showed moderate fibrosis (Table 3). In the treatment groups, rats treated with 50 mg/kg and positive control group did not indicate fibrosis and the AV (300 mg/kg) group had moderate fibrosis and severe negative inflammation. This may suggest that at a dose of 50 mg/kg, AV possesses cytoprotective activity. Because “cytoprotection” means protection against mucosal injury by a mechanism different from inhibition or neutralization. The failure of the protect effect at 300 mg/kg of AV may be due to the presence of a significant amount of salicylic acid [31] that inhibits cycloxygenase enzyme which is responsible for the synthesis of prostaglandin. The presence of prostaglandins leads to increase mucosal blood flow, bicarbonate secretion, and mucus production, thus protecting the mucosa against injury and inflammatory [32]. The anti-inflammatory effects of AV may be due to sialic acid [33], an analogous of aspirin with inhibitory effects on the synthesis of prostaglandin [10, 34]. On the other hand, it has been shown that AV extract inhibits the conversion of arachidonic acid to prostaglandins in vitro [10, 34]. Another important factor is the diagnosis of tissue hyperemia, mucosal ulcers and its extent. In various studies, the effects of improving gastric ulcer [35] and skin wound [36] have been demonstrated in low doses of AV gel. Yu et al. [37] showed that the polysaccharide compounds of the AV gel had antioxidant properties and enhance the immune function and suppression of immune damage in the animal model gets an oral ulcer. The results of macroscopic and microscopic examination showed the protective effects of AV on acetic acid-induced colitis in rats which reduces the inflammation, ulcers and tissue damage caused by anti-inflammatory, anti-oxidant, and anti-oxidant effects.
The strengths of this study include considering the protective and therapeutic effect of AV on important factors on induced colitis based on macroscopic and microscopic observations, such as weight loss, tissue damage, fibrosis, and inflammation in tissue of colon.
In view of present and other studies regarding the anti-inflammatory, anti-oxidant and wound healing properties of AV gel, this herbal medicine could be used to improve the symptoms of UC as well as to prevent the disease in people who are prone to this infection. To complement the results, it is suggested to evaluate others does of AV gel on UC. Evaluation of serum inflammatory factors is also recommended to confirm the results.

Conflict of Interest: The authors declare that they have no competing interests.

  • 1. Low D, Nguyen DD, Mizoguchi E. Animal models of ulcerative colitis and their application in drug research. Drug Des Devel Ther 2013;7:1341-1357.
  • 2. Uhlig HH. Monogenic diseases associated with intestinal inflammation: implications for the understanding of inflammatory bowel disease. Gut 2013;62:1795-1805.
  • 3. Ordás I, Eckmann L, Talamini M, Baumgart DC, Sandborn WJ. Ulcerative colitis. Lancet 2012;380:1606-1619.
  • 4. Baumgart DC, Sandborn WJ. Crohn's disease. Lancet 2012;380:1590-1605.
  • 5. Rieder F, Brenmoehl J, Leeb S, Schölmerich J, Rogler G. Wound healing and fibrosis in intestinal disease. Gut 2007;56:130-139.
  • 6. Al-Rejaie SS, Abuohashish HM, Al-Enazi MM, Al-Assaf AH, Parmar MY, Ahmed MM. Protective effect of naringenin on acetic acid-induced ulcerative colitis in rats. World J Gastroenterol 2013;19:5633-5644.
  • 7. Zhong YQ, Huang HR, Zhu ZH, Chen QK, Zhan J, Xing LC. Effects of sulfasalazine on biopsy mucosal pathologies and histological grading of patients with active ulcerative colitis. World J Gastroenterol 2005;11:4435-4438.
  • 8. Dehury S, Tripathy J. Effect of Aloe vera leaf extract in animal model of ulcerative colitis. Eur J Pharm Med Res 2017;4:346-350.
  • 9. Haroon SM, Shahid S, Hussain SA, Raza H. Comparative study of antioxidant activity of flower of Aloe vera and leaf extract of Aloe ferox. J Basic Appl Sci 2018;14:191-196.
  • 10. Langmead L, Makins RJ, Rampton DS. Anti-inflammatory effects of Aloe vera gel in human colorectal mucosa in vitro. Aliment Pharmacol Ther 2004;19:521-527.
  • 11. Choudhury D, Roy D. Evaluation of anti-inflammatory effect of aqueous extract of Aloe vera in Albino rats. Int J Basic Clin Pharmacol 2016;5:2488-2495.
  • 12. Bhalsinge RR, Rajbhoj SR, Limaye MV, Vaidya MU, Rane PS, Tilak AV, et al. Anti-inflammatory and immunomodulatory activity of ethanol extract of Aloe vera gel. Int J Pharm Sci Res 2018;9:832-835.
  • 13. Arora MK, Sarup Y, Tomar R, Singh M, Kumar P. Amelioration of diabetes-induced diabetic nephropathy by Aloe vera: implication of oxidative stress and hyperlipidemia. J Diet Suppl 2019;16:227-244.
  • 14. Sari Y, Purnawan I, Kurniawan DW, Sutrisna E. A comparative study of the effects of nigella sativa oil gel and Aloe vera gel on wound healing in diabetic rats. J Evid Based Integr Med 2018;23:2515690X18772804.
  • 15. Hayat MK, Kumar T, Ahmad N, Jan SA, Sajjad W, Faisal S, Gao BX, Khan K, Rahman ZU, Abbasi BH. In vitro antimicrobial activity of Aloe vera L. extracts against pathogenic bacteria and fungi. Mycopath 2016;14:21-27.
  • 16. Gao Y, Kuok KI, Jin Y, Wang R. Biomedical applications of Aloe vera. Crit Rev Food Sci Nutr 2019;59:S244-56.
  • 17. Pilehvar-Soltanahmadi Y, Dadashpour M, Mohajeri A, Fattahi A, Sheervalilou R, Zarghami N. An overview on application of natural substances incorporated with electrospun nanofibrous scaffolds to development of innovative wound dressings. Mini Rev Med Chem 2018;18:414-427.
  • 18. Rajasekaran S, Ravi K, Sivagnanam K, Subramanian S. Beneficial effects of Aloe vera leaf gel extract on lipid profile status in rats with streptozotocin diabetes. Clin Exp Pharmacol Physiol 2006;33:232-237.
  • 19. Babitha S, Bindu K, Nageena T, Veerapur VP. Fresh fruit juice of Opuntia dillenii Haw. attenuates acetic acid-induced ulcerative colitis in rats. J Diet Suppl 2019;16:431-442.
  • 20. Morris GP, Beck PL, Herridge MS, Depew WT, Szewczuk MR, Wallace JL. Hapten-induced model of chronic inflammation and ulceration in the rat colon. Gastroenterology 1989;96:795-803.
  • 21. Wallace JL, Keenan CM, Gale D, Shoupe TS. Exacerbation of experimental colitis by nonsteroidal anti-inflammatory drugs is not related to elevated leukotriene B4 synthesis. Gastroenterology 1992;102:18-27.
  • 22. Gao J, Cui J, Zhong H, Li Y, Liu W, Jiao C, Gao J, Jiang C, Guo W, Xu Q. Andrographolide sulfonate ameliorates chronic colitis induced by TNBS in mice via decreasing inflammation and fibrosis. Int Immunopharmacol 2020;83:106426.
  • 23. Randhawa PK, Singh K, Singh N, Jaggi AS. A review on chemical-induced inflammatory bowel disease models in rodents. Korean J Physiol Pharmacol 2014;18:279-288.
  • 24. Niu X, Fan T, Li W, Huang H, Zhang Y, Xing W. Protective effect of sanguinarine against acetic acid-induced ulcerative colitis in mice. Toxicol Appl Pharmacol 2013;267:256-265.
  • 25. Williams KL, Fuller CR, Dieleman LA, DaCosta CM, Haldeman KM, Sartor RB, Lund PK. Enhanced survival and mucosal repair after dextran sodium sulfate-induced colitis in transgenic mice that overexpress growth hormone. Gastroenterology 2001;120:925-937.
  • 26. Ligumsky M, Karmeli F, Sharon P, Zor U, Cohen F, Rachmilewitz D. Enhanced thromboxane A2 and prostacyclin production by cultured rectal mucosa in ulcerative colitis and its inhibition by steroids and sulfasalazine. Gastroenterology 1981;81:444-449.
  • 27. Lobos EA, Sharon P, Stenson WF. Chemotactic activity in inflammatory bowel disease. Role of leukotriene B4. Dig Dis Sci 1987;32:1380-1388.
  • 28. Branski D, Sharon P, Abrahamov A. Prostaglandins in disorders of the intestinal tract: a review. J Pediatr Gastroenterol Nutr 1986;5:853-860.
  • 29. Longstreth GF, Thompson WG, Chey WD, Houghton LA, Mearin F, Spiller RC. Functional bowel disorders. Gastroenterology 2006;130:1480-1491.
  • 30. Goyal N, Rana A, Ahlawat A, Bijjem KR, Kumar P. Animal models of inflammatory bowel disease: a review. Inflammopharmacology 2014;22:219-233.
  • 31. Yusuf S, Agunu A, Diana M. The effect of Aloe vera A. Berger (Liliaceae) on gastric acid secretion and acute gastric mucosal injury in rats. J Ethnopharmacol 2004;93:33-37.
  • 32. Robert A. Cytoprotection by prostaglandins. Gastroenterology 1979;77:761-767.
  • 33. Sharrif MM, Verma SK. Aloe vera their chemicals composition and applications: a review. Int J Biol Med Res 2011;2:466-471.
  • 34. Vázquez B, Avila G, Segura D, Escalante B. Antiinflammatory activity of extracts from Aloe vera gel. J Ethnopharmacol 1996;55:69-75.
  • 35. Bush J, van den Boom R, Franklin S. Comparison of Aloe vera and omeprazole in the treatment of equine gastric ulcer syndrome. Equine Vet J 2018;50:34-40.
  • 36. Hekmatpou D, Mehrabi F, Rahzani K, Aminiyan A. The effect of Aloe vera clinical trials on prevention and healing of skin wound: a systematic review. Iran J Med Sci 2019;44:1-9.
  • 37. Yu Z, Jin C, Xin M, JianMin H. Effect of Aloe vera polysaccharides on immunity and antioxidant activities in oral ulcer animal models. Carbohydr Polym 2009;75:307-311.

Download Citation

Download a citation file in RIS format that can be imported by all major citation management software, including EndNote, ProCite, RefWorks, and Reference Manager.

Format:

Include:

Protective and Therapeutic Effects of Aloe Vera Gel on Ulcerative Colitis Induced by Acetic Acid in Rats
Clin Nutr Res. 2020;9(3):223-234.   Published online July 30, 2020
Download Citation

Download a citation file in RIS format that can be imported by all major citation management software, including EndNote, ProCite, RefWorks, and Reference Manager.

Format:
Include:
Protective and Therapeutic Effects of Aloe Vera Gel on Ulcerative Colitis Induced by Acetic Acid in Rats
Clin Nutr Res. 2020;9(3):223-234.   Published online July 30, 2020
Close

Figure

  • 0
  • 1
  • 2
  • 3
  • 4
  • 5
  • 6
  • 7
Protective and Therapeutic Effects of Aloe Vera Gel on Ulcerative Colitis Induced by Acetic Acid in Rats
Image Image Image Image Image Image Image Image
Figure 1 Protective effect of AV on body weight in colitis rats (n = 6).AV, Aloe vera.
Figure 2 Therapeutic effect of AV on body weight in colitis rats (n = 6).AV, Aloe vera.
Figure 3 Protective effect of AV on food and water intake in colitis rats (n = 6).AV, Aloe vera.
Figure 4 Treatment effect of AV on food and water intake in colitis rats (n = 6).AV, Aloe vera.
Figure 5 Scoring tissue damage based on Gerald method in protective and treatment groups. Values given are the mean ± standard error of means of 6 rats per group. To analyze the significance of the differences between the samples the authors used analysis of variance followed by the Tukey's test.AV, Aloe vera.*p < 0.05 vs. negative control group.
Figure 6 Rat colonic mucosa (macroscopic) in protective (A) AV 50 mg/kg, (B) AV 300 mg/kg, (C) C+, (D) C−, and treatment groups (E) AV 50 mg/kg, (F) AV 300 mg/kg, (G) C+, (H) C− in colitis rats.AV, Aloe vera.
Figure 7 Photomicrographs of the rat colon stained with hematoxylin and eosin stain stain (×40). Photomicrographs of protective (A) AV 50 mg/kg, (B) AV 300 mg/kg, (C) C+, (D) C−, and treatment groups (E) AV 50 mg/kg, (F) AV 300 mg/kg, (G) C+, (H) C− in colitis rats.AV, Aloe vera.
Figure 8 Photomicrographs of the rat colon stained Masson's trichrome stain (×200). The collagen deposition, showed by blue color staining area. Photomicrographs of protective group (A) AV 50 mg/kg, (B) AV 300 mg/kg, and treatment groups (C) AV 50 mg/kg, (D) AV 300 mg/kg, (E) positive control, (F) control group.AV, Aloe vera.
Protective and Therapeutic Effects of Aloe Vera Gel on Ulcerative Colitis Induced by Acetic Acid in Rats
Table 1 Exterior scoring criteria tissue damage in patients with colitis (Gerald method)

IBD, inflammatory bowel disease.

Table 2 Pathological evaluation using the modified Wallace method
Table 3 Results of pathological evaluation using the modified Wallace method in treatment and protective groups

AV, Aloe vera.